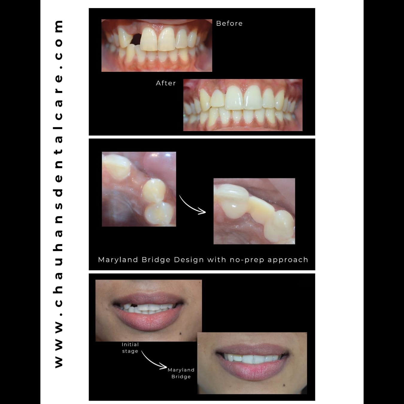
"Chauhan's Dental Care is located at Baner Road. A humble beginning of which was started in 2009. Since past 15 years the clinic is taking care of oral and dental needs of thousands of patients, of all age group right from infancy to geriatric population, in the city and beyond. Dr Vivek Singh Chauhan has specialization in Periodontics, Implantology, Osseous surgery, Frenulectomy, Cosmetic dentistry & Digital dentistry. He is committed to providing the best patient care through communication and high quality service. He is devoted to remaining up to date on the latest techniques to provide the highest level of patient care possible.Dr Rashmi Singh Chauhan is an exclusive Pediatric and Prev...































